成人拔虫牙危险吗视频,安全与注意事项
最近有个话题在朋友圈里炒得挺热的,那就是“成人拔虫牙危险吗?”这事儿可大可小,毕竟谁不想拥有一口健康的牙齿呢?所以,今天咱们就来聊聊这个话题,看看拔虫牙到底有没有风险,风险又有多大。
拔虫牙,你了解多少?

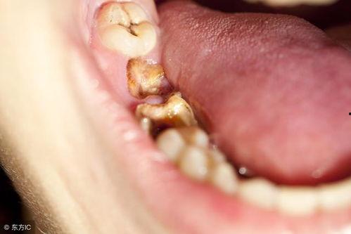
首先,得先弄清楚什么是虫牙。虫牙,也就是龋齿,是牙齿硬组织逐渐被破坏的一种疾病。如果不及时治疗,龋齿会越来越严重,甚至影响到整个口腔健康。而拔虫牙,就是将已经坏死的牙齿取出,以防止病情进一步恶化。
拔虫牙的风险,你真的知道吗?

很多人一听拔牙,就想到疼痛、出血、感染等一系列问题。那么,拔虫牙真的有这么可怕吗?
1. 疼痛问题

拔虫牙的过程中,医生会使用麻药,所以你不会感到疼痛。但是,麻药过后,可能会有轻微的不适感,这属于正常现象。一般来说,疼痛会在几天后逐渐消失。
2. 出血问题
拔牙后,可能会有少量出血,这是正常的生理反应。医生会给你一些止血措施,比如咬住棉球等。如果出血较多,要及时就医。
3. 感染问题
拔牙后,口腔内可能会出现感染。为了避免感染,医生会给你一些消炎药和口腔护理建议。同时,要注意口腔卫生,避免用舌头舔伤口。
4. 骨质吸收
拔牙后,牙槽骨可能会出现吸收现象。为了防止这种情况,医生可能会给你一些促进骨愈合的药物。
拔虫牙的视频,你看过吗?
现在,互联网上有很多关于拔虫牙的视频,有的展示了拔牙过程,有的介绍了术后护理。这些视频可以帮助你更好地了解拔虫牙,消除心中的恐惧。
1. 拔牙过程
视频中的拔牙过程,医生会使用专业的工具,将坏死的牙齿取出。整个过程干净、利落,让人放心。
2. 术后护理
视频中的术后护理,包括如何止血、如何保持口腔卫生等。这些细节可以帮助你更好地照顾自己。
拔虫牙,你还在犹豫吗?
其实,拔虫牙并不可怕,只要选择正规的医院和有经验的医生,风险是可以控制的。如果你还在犹豫,不妨看看这些视频,了解拔虫牙的全过程,消除心中的顾虑。
提醒大家,口腔健康至关重要,定期检查牙齿,发现问题及时治疗,才能拥有一口健康的牙齿。拔虫牙,只是口腔治疗的一种方式,不要因为恐惧而延误病情。让我们一起关注口腔健康,从拔虫牙开始吧!
